咬耗症(こうもうしょう、Attrition)は、歯と歯あるいは歯と食物の過剰な接触により、歯のエナメル質や象牙質に発生する慢性損傷。歯の物理的損傷の一つである。
病態
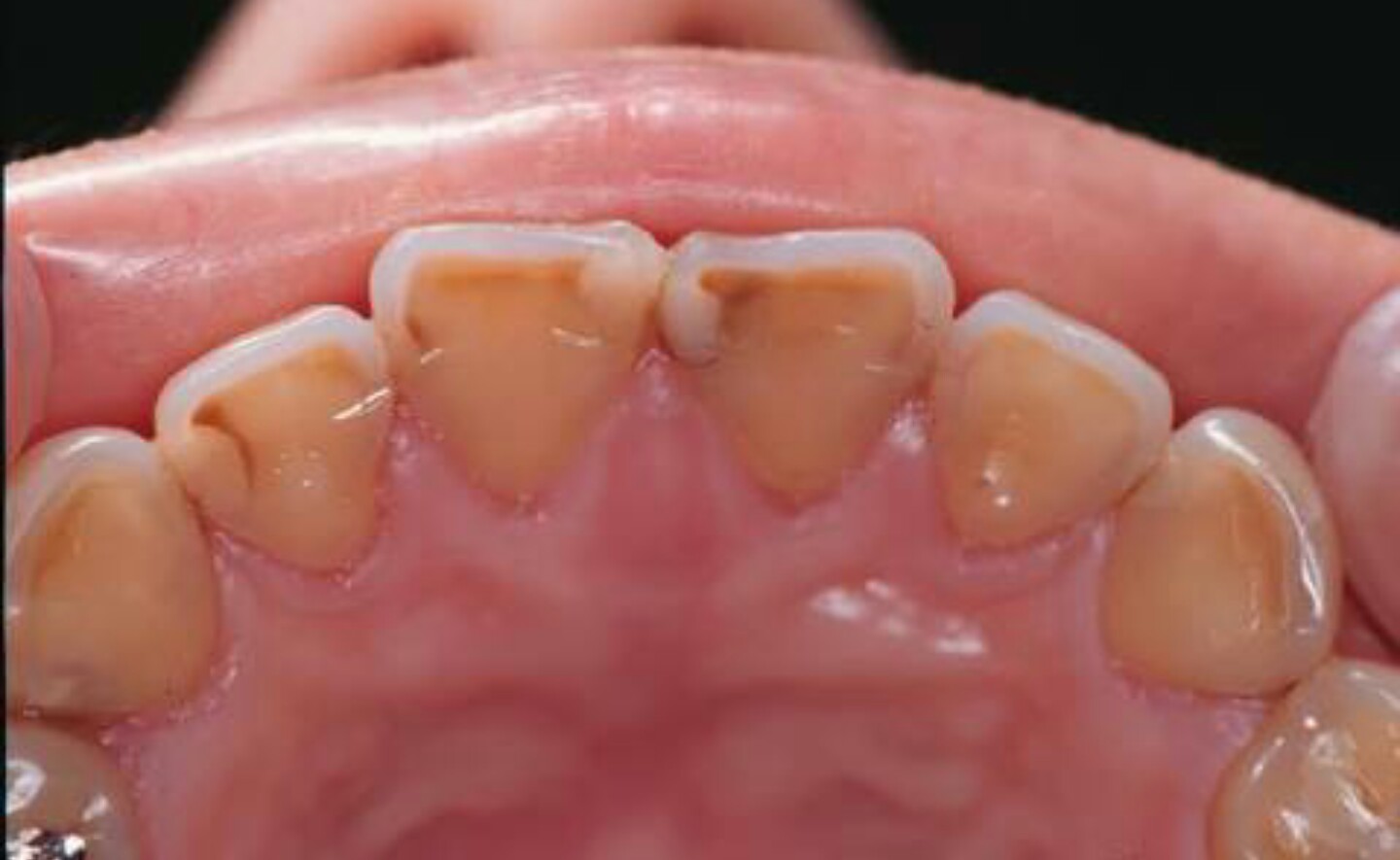
対合歯と接触する、歯の切縁並びに咬合面(対合歯と接触する部分)に欠損が発生する。軽度で咬耗がエナメル質に限局している場合は白色になる。象牙質まで達した場合、エナメル質と象牙質の硬度の差により、周囲のエナメル質の咬耗部と比較して象牙質の咬耗の度合いが強まる。咬耗は慢性的に少しずつ進むため、第二象牙質の形成により歯髄腔に達することは少ない。
分類
硬組織疾患 - 歯科
原因
上記の通り、歯と歯、歯と食物の過剰接触が原因である。進行には、食物の硬さや、歯の石灰の進行度などの多くの要因がからむが、特に歯ぎしりや歯の食いしばりによって進行する。
疫学
- 程度の差はあるが、ほぼ全ての人が歯が咬耗すると言って過言ではない。
- 一般に若年者より高齢者の方が多い。
- 女性より男性の方が多い。
症状
歯の欠損による咬合の変化等。
検査
視診や診断用模型の作成などを行う。
診断
対合歯との接触部に欠損がある場合、容易に咬耗症と診断できる。
治療
歯の形態の修正、咬合高径の回復、隣接歯との関係の修復などを行う。
予後
歯それ自体の修復は可能であるが、歯ぎしりや歯の食いしばりなどの生活習慣の改善を行わないと完全な原因除去とはならない。
診療科
- 歯科
- 特に専門としている分野は、保存修復学を専攻している歯科医師(歯科保存専門医)。
その他
- 社会的影響
- 口腔内の咬耗の状態が、遺骨の本人特定の状況となる事がある。また、誤差は大きいが、歯の咬耗の状態が遺体の年齢特定の条件の一つとなり得る。
- コラム
- 強い歯ぎしりで知られる徳川家重の歯の咬耗が重度であることが、遺骨から確認されており、有名である。
参考文献
- 『保存修復学21』監修 岩久正明、河野篤、千田彰、田上順次(改訂版第1刷)、永末書店、2002年3月30日。ISBN 4-8160-1114-5。
脚注
関連項目
- 歯科
- 歯学/保存修復学/歯科矯正学/歯科補綴学
- 硬組織疾患/齲蝕
- 歯/象牙質/エナメル質/歯髄
- 歯科医師/歯科衛生士/歯科技工士
外部リンク
- 日本歯科保存学会
- 日本顎咬合学会
- 日本全身咬合学会
- 日本補綴歯科学会
- 口腔保健協会



